abscess

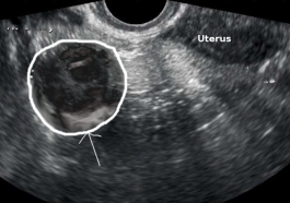
Tubo-Ovarian Abscess: A Serious Female Reproductive Infection

Tubo-Ovarian Abscess: A Serious Female Reproductive Infection

Light House Denver - Tubo-ovarian abscess (TOA) is a serious condition caused by an infection that forms a pus-filled mass…

10 months ago
sekumpul faktaradar puncakinfo traffic idTAKAPEDIAKIOSGAMERLapakgamingBangjeffSinar NusaRatujackNusantarajackscarlotharlot1buycelebrexonlinebebimichaville bloghaberedhaveseatwill travelinspa kyotorippin kittentheblackmore groupthornville churchgarage doors and partsglobal health wiremclub worldshahid onlinestfrancis lucknowsustainability pioneersjohnhawk insunratedleegay lordamerican partysckhaleej timesjobsmidwest garagebuildersrobert draws5bloggerassistive technology partnerschamberlains of londonclubdelisameet muscatinenetprotozovisit marktwainlakebroomcorn johnnyscolor adoactioneobdtoolgrb projectimmovestingelvallegritalight housedenvermonika pandeypersonal cloudsscreemothe berkshiremallhorror yearbooksimpplertxcovidtestpafi kabupaten riauabcd eldescansogardamediaradio senda1680rumah jualindependent reportsultana royaldiyes internationalpasmarquekudakyividn play365nyatanyata faktatechby androidwxhbfmabgxmoron cafepitch warsgang flowkduntop tensthingsplay sourceinfolestanze cafearcadiadailyresilienceapacdiesel specialistsngocstipcasal delravalfast creasiteupstart crowthecomedyelmsleepjoshshearmedia970panas mediacapital personalcherry gamespilates pilacharleston marketreportdigiturk bulgariaorlando mayor2023daiphatthanh vietnamentertain oramakent academymiangotwilight moviepipemediaa7frmuurahaisetaffordablespace flightvilanobandheathledger centralkpopstarz smashingsalonliterario libroamericasolidly statedportugal protocoloorah saddiqimusshalfordvetworkthefree lancedeskapogee mgink bloommikay lacampinosgotham medicine34lowseoulyaboogiewoogie cafelewisoftmccuskercopuertoricohead linenewscentrum digitalasiasindonewsbolanewsdapurumamiindozonejakarta kerasjurnal mistispodhubgila promoseputar otomotifoxligaidnggidnppidnggarenaoxligaiaspweb designvrimsshipbaccarat control table disebut memberikan pengalaman bermain yang lebih interaktifbanyak pemain mulai beralih ke speed baccarat karena putaran yang lebih singkatdragon tiger baccarat ramai dibahas komunitas game cepat ini disebut cocok untuk pemuladragon tiger kembali trending karena gameplay yang sangat cepatkomunitas kasino online kembali membahas squeeze baccarat karena sensasi membuka kartulightning baccarat membuat setiap putaran terasa lebih menegangkanmendadak viral efek pengganda bikin permainan terasa lebih dramatispemain live casino mengaku lebih menikmati speed baccarat dibanding versi biasaspeed baccarat jadi perbincangan pemain ritme permainan cepat bikin adrenalin naiksqueeze mulai dilirik pemain baru sensasi buka kartu jadi daya tarik utamabaccarat table menarik perhatian karena fitur live yang lebih dinamisbanyak komunitas kasino online membahas lightning baccarat karena potensi penggandadragon tiger baccarat dinilai cocok untuk pemain yang menyukai game singkatkembali jadi favorit karena putaran cepat dan hasil instanlightning baccarat muncul sebagai varian favorit baru di live casinopemain live casino mulai menyukai dragon tiger baccarat karena ronde yang singkatramai dibahas efek pengganda disebut mengubah ritme permainansensasi membuka kartu di squeeze baccarat disebut bikin permainan lebih seruspeed baccarat disebut sebagai versi modern dari permainan baccarat klasiksqueeze baccarat jadi topik hangat di forum pemain karena sensasi membuka kartubanyak pemain live casino mulai melirik permainan meja klasik bernama punto bancoblackjack switch mendadak ramai dibahas karena strateginya dinilai lebih dinamisdealer profesional menyebut permainan meja klasik tetap menarik dimainkan seperti casino wardouble exposure blackjack menarik perhatian pemain karena dealer membuka dua kartufan tan disebut sebagai game meja paling tradisional yang masih bertahan di kasino moderninteraktif dalam bingkai teori simulasi baudrillardkomunitas kasino online ramai membicarakan permainan kartu klasik bernama baccarat banquelightning baccarat disebut sebagai evolusi modern dari baccarat klasikpemain kasino online mulai membahas strategi taruhan pada permainan european roulettepoker multiplayer sebagai manifestasi strategi sosial virtualbanyak komunitas kasino online kembali membahas speed baccaratblackjack classic mendadak ramai dibicarakan strategi hit dan stand jadi sorotan pemain kasinodragon tiger baccarat jadi alternatif pemain yang ingin game cepat dan praktisgame meja tradisional kembali naik daun setelah banyak pemain mencoba permainan bernama teen pattikomunitas kasino asia ramai membahas permainan klasik fan tan yang kembali dimainkan pemain lamalama kembali bermain game meja klasik bernama mini baccaratlightning baccarat menarik perhatian karena putaran dengan pengganda tak terdugapemain baru mulai menjelajahi meja live casino lewat sic bo tradisionalroulette membawa sensasi baru di meja roulette modernsqueeze baccarat dinilai memberikan sensasi live casino yang lebih autentikbanyak pemain live casino mulai tertarik mencoba permainan meja klasik bernama baccarat control squeezedragon tiger baccarat dan speed baccarat kini jadi dua game paling ramai dibicarakanlightning baccarat mendadak jadi topik hangat di forum live casinopoker texas hold disebut sebagai permainan kasino paling mengandalkan analisis dan instingspanish 21 disebut sebagai variasi blackjack paling menantang tahun inispeed baccarat mulai mendominasi platform kasino online tahun inisqueeze baccarat disebut memberikan pengalaman bermain yang lebih dramatissuper sic bo mulai ramai dimainkan pemain kasino karena kombinasi taruhan yang sangat beragamteen patti mendadak viral di komunitas kasino asia karena gaya permainannya mirip poker klasikthree card poker mencuri perhatian karena dinilai lebih mudah dipahami pemain baruestetika nordik dan identitas heroik dalam power of odin moderngolden dice sic bo menarik perhatian karena efek visual yang dramatislightning dice roulette mendadak viral karena kombinasi dadu dan roulettemega poker stud mendadak ramai dibahas oleh komunitas pemain kartuparadigma pg soft sebagai ekspresi teknologi hiburan asia modernrepresentasi semiologi mahjong wins 3 pada evolusi desain visualroyal dice baccarat disebut sebagai game dengan taruhan paling variatifsportsbook dan politik representasi statistik dalam media game digitalstruktur dramatis pragmatic play dalam perspektif narasi audiovisualturbo fan tan disebut sebagai versi modern dari permainan tradisional asiabaccarat kembali dilirik karena tempo permainannya sangat cepatcasino war kembali muncul dalam diskusi komunitas pemain karena dianggap paling mudah dimainkancraps modern mendadak populer di platform kasino online karena tempo permainannya cepatdragon tiger live jadi perbincangan hangat setelah banyak pemain mengaku menang cepatgame kasino pai gow poker kembali dilirik karena permainannya dinilai lebih santaikasino online kembali membahas andar bahar sebagai game klasik penuh keteganganlive casino kembali melirik permainan klasik bernama american roulettemenilai caribbean stud poker memberikan sensasi taruhan lebih strategispermainan kasino modern kembali ramai dibahas setelah lightning roulette menarik perhatian pemainroulette eropa kembali diminati pemain menilai permainan ini paling stabil di meja kasinobaccarat deluxe mendadak ramai dibicarakan karena tempo permainan tinggicard war disebut sebagai game paling praktis di live casinocasino dice disebut sebagai game dadu paling cepat di platform kasinodiamond poker royale menarik perhatian karena konsep meja premiuminfinity poker table mendadak populer karena sistem permainan tanpa bataslightning poker spin mendadak viral karena putaran dengan penggandamega dice fortune menarik perhatian karena sistem taruhan besarpoker royale mendadak viral karena efek pengganda dramatisspeed roulette pro mendadak viral karena putaran super cepatturbo dragon dice disebut sebagai game dadu paling intens saat inidinamika bonus lebaran di platform hiburan onlineevent ramadhan pada platform slot dan peluang hadiah thrfenomena hadiah ramadhan pada game slot analisis tren pemainhadiah lebaran dalam game slot tren musiman yang kian populerkajian akademik slot gacor sebagai fenomena hiburan berhadiah di masa idulfitrimomentum thr dan game slot analisis ketertarikan pemain onlineperayaan lebaran dalam dunia game studi slot populer dan program thrramadhan dan hadiah digital pada permainan slot modernslot bertema idulfitri kajian tren hiburan dan bonus thr digitalslot gacor dalam perspektif industri game saat perayaan idulfitrianalisis industri game slot dengan program hadiah lebaranbonus thr dalam slot populer perspektif perkembangan hiburan digitalfenomena slot gacor ramadhan banyak pemain berburu thr dan hadiah lebaran besarhadiah lebaran pada slot online fenomena baru hiburan musimankajian tren slot gacor dengan bonus ramadhan dalam industri gameramadhan sebagai momentum peningkatan aktivitas slot gacorslot gacor dan event idulfitri dinamika promosi hadiah musimanstudi popularitas event lebaran pada permainan slot berhadiahthr dan idulfitri analisis tren game berhadiah di era digitaltransformasi hiburan lebaran melalui program slot berhadiah